Zahnschmerzen bei Katzen
Nur das Dentalröntgen findet alle Probleme! Teil3
Haben Katzen wirklich Zahnschmerzen auch wenn man nichts sieht? Ja, das haben sie!
Hier noch ein Beispiel aus dieser Woche,
ein Beispiel wie wichtig das dentale Röntgen für uns ist!
Zunächst sieht alles nach einer normalen Zahnsanierung einer zehnjährigen Katze aus, der bereits einige Zähne im Maul fehlen,
bei einer allgemeinen Untersuchung fiel uns nur eine kleine gerötete Stelle am Zahnfleisch am Molar 1 auf.
Nach der Zahnreinigung mit Ultraschall und der Sondierung der einzelnen Zähne war auch weiterhin nur ein Zahn auffällig, doch dann kam das routinemässige Dentalröntgen!
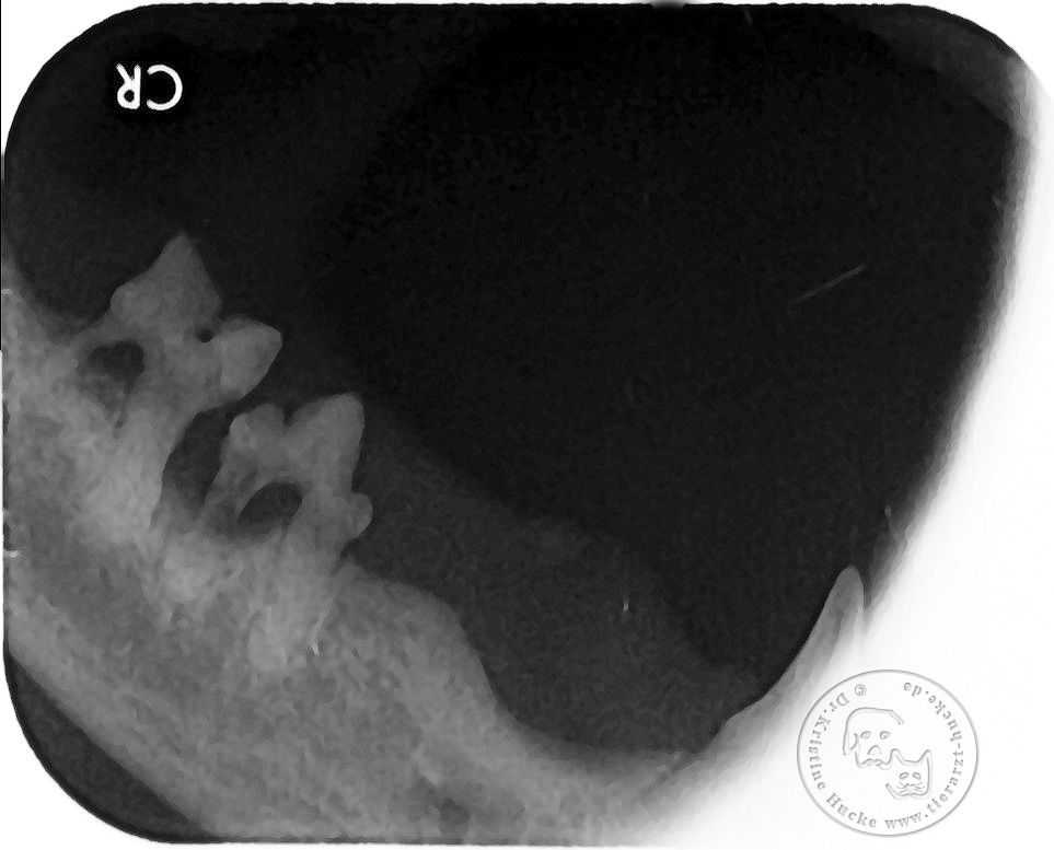
Hier die Röntgenaufnahme der anderen Unterkieferseite, man sieht deutlich die kräftigen Zahnwurzeln
Der Pfeil zeigt den aufgelösten dunkleren Wurzelbereich, darunter ist aber auch noch ein intakter Wurzelteil in der gestrichelten Linie sichtbar, eine typische FORL-Erkrankung
Wie es schon zu vermuten war lässt sich der Zahn nicht komplett extrahieren, selbst eine Teilung in der Mitte mit einem speziellen Zahnbohrer reicht nicht um die tiefsitzende Wurzel unterhalb des porösen Zahnhalses in einem Stück zu entfernen.
Hier nochmal eingezeichnet
Ist die vordere Wurzel des Prämolar 4 und die beiden Wurzeln des Molar 4 vorsichtig herausgearbeitet sowie das noch zurückgebliebene letzte Zahnfragment entfernt, fehlt noch die Kontrolle ob wirklich alles entfernt ist.
Dies geht nur mit einer digitalen Dentalröntgenaufnahme!
Dies geht nur mit einer digitalen Dentalröntgenaufnahme!
Hier nochmal die jetzt leeren Zahnfächer nach den Extraktionen
Weitere Themen zur Zahnbehandlung:
Zahnsanierung bei Hund und Katze







