Aktuelles
Nächster Kardiologietag:
Dienstag, den 28.10.2025
Interesse? Bitte telefonisch einen Termin vereinbaren! mehr dazu

Pünktlich zum Jahresbeginn haben wir für Sie die Reisebestimmungen überarbeitet!
Wie schon vielfach gelobt, wieder mit der Europakarte um den Reiseweg und die zu durchreisenden Länder leichter zu bestimmen.
(Die Karte ist leider nicht optimal verkleinerbar für Mobilgeräte, funktioniert aber auch gescrollt hervorragend!)
Die Europakarte und alle Reisebestimmungen für das Urlaubsland aber auch für die Rückkehr nach Deutschland finden Sie hier: Europakarte
Jetzt kommt wieder die Sommerzeit - Urlaubszeit!
Und Ihr vierbeiniger Familienangehörige darf auch mit!
Doch vor dem Urlaub gibt es noch viele Dinge zu erledigen und Reisevorbereitungen zu treffen.
Und bitte frühzeitig mit der Überprüfung der Impfungen und Planung der fristgerechten Umsetzung der Reisebestimmungen beginnen!
Dann geht es los - und kennen Sie das Gefühl:
Spätestens am Wiesbadener Kreuz fallen Ihnen noch eins, zwei Dinge ein, die Sie unbedingt vorher noch erledigen wollten oder wichtige Dinge, die Sie vergessen haben? mehr...

Einreisebestimmung für Ihren Urlaub mit Hund, Katze oder Frettchen
Nach den Corona-Reisebeschränkungen zieht es uns wieder hinaus in die Welt, und unser Haustier darf mit den Urlaub!
Aber wie lauten die Reisebestimmungen für die Einreise ins Urlaubsland, welche Länder durchquere ich bei der Reise und vor allem welche Bestimmungen muss ich für die Wiedereinreise in die EU erfüllen?
Diese Informationen finden Sie auf unserer interaktiven EU-Landkarte sowie den einzelnen Ländern, aber auch die Gesetzestexte dazu und viele Links zu den Behörden des Reiselandes sind gelistet!....mehr...
Herbstzeit – Virushustenzeit

Foto: © Tatyana Gladskih - fotolia.com
In der Herbstzeit sehen wir auch dieses Jahr wieder viele hustende Hunde.
Ursache des Virushusten – Canine infektiöse respirations disease – CIRD – Tracheobronchitis – früher einfach Zwingerhusten genannt, sind unter anderem verschiedene Viren wie Adenoviren, Parainfluenzaviren, aber auch das Bakterium Bordetella bronchiseptica.
Die Symptome entstehen plötzlich mit trockenem würgendem Husten, oftmals mit dem Versuch Schleim abzuhusten.
Diese Hustenattacken können Minuten andauern und wieder nach einer gewissen Zeit neu einsetzen. Der Besitzer hat zunächst den Verdacht, dass das Tier einen Fremdkörper im Schlund stecken hat und ihn versucht aus zu würgen.
Die Erkrankung ist durch Tröpfcheninfektion hochansteckend unter Hundegruppen wie Hundeschule, Hundepensionen, aber auch die gemeinsame Hundewiese reicht schon aus um sich anzustecken. Bei der überwiegenden Anzahl der Erkrankten klingt der Husten innerhalb einer – zwei Wochen wieder ab, selten aber möglich ist ein komplizierterer Verlauf mit Lungenentzündungen.
Durch eine Impfung geben Bordetella(Bb) bzw Parainfluenza(Pi) als nasale (BbPi) oder orale (Bb) Impfung kann man den Hund vor schweren Verläufen schützen. Die Impfung wird 1 x jährlich durchgeführt. Pi ist auch in der normalen Jahresimpfung des Hundes enthalten.
Ist Ihr Hund geimpft?
Schauen Sie im Impfpass Ihres Hundes nach ob Sie dort einen gültigen Impfaufkleber mit dem Vermerk Bb bzw Pi finden!
Möchten Sie Ihren Hund schützen vereinbaren Sie einen Termin mit uns!

Zahnschmerzen auf Grund von FORL oder anderer krankhafter Prozesse sind schwer zu erkennen.
Häufig wird das Problem nicht erkannt, oft zu spät oder gar nicht behandelt, denn die Katzen stellen das Fressen trotz hochgradig schmerzhafter Prozesse in der Maulhöhle nicht ein.
Verweigerten sie die Mahlzeit, ginge es ihnen noch schlechter.....mehr...

Geriatrie bezeichnet die Lehre der Krankheiten von alternden Menschen oder auch Tieren. Die auftretenden Krankheiten können vielfältig sein und umspannen Erkrankungen des Bewe- gungsapparates, der Sinnesorgane, der Inneren Medizin aber auch Erkrankungen im Bereich der Verhaltenslehre.
Ein breites, spannendes Gebiet.
Wir zeigen Ihnen die vielfältigen Früh- symptome, mögliche Untersuchungen und Behandlungsformen um Ihrem Heimtier ein lebenswertes Älterwerden zu ermöglichen mehr...

Ich packe meinen Koffer:
Endlich wieder Urlaub, die Urlaubszeit ist die schönste Zeit des Jahres. Sommer, Strand und Sonne oder im Winter auf den Skipisten.
Sich erholen, sich eine Auszeit vom Alltag gönnen, Neues erkunden, die Welt sehen und etwas erleben: Urlaub zu machen und zu reisen ist der Traum vieler Menschen.
Doch was ist mit dem Hund, sieht ein Hund das Reisen ähnlich? mehr...
Foto: © A. Längauer - fotolia.com

Hurra, ich habe es geschafft, die ersten Bilder der Tour waren ja schon online,
Die ersten Bilder unsere Rumänientour 2024
jetzt ist auch mein gesamter Bericht fertig.
Sie finden unsere Erlebnisse und Eindrücke der gemeinsamen Rumänienreise hier:
Unsere Rumänientour 2024
Auf der Suche nach den Bären
Frohe Weihnachten!

Wir bedanken uns für die vertrauensvolle Zusammenarbeit bei unseren vierbeinigen Patienten und ihren Besitzern und wünschen allen ein besinnliches, aber auch fröhliches Weihnachtsfest, bleiben Sie gesund und passen Sie auf sich und Ihr Umfeld auf!
Es ist eine schwierige Zeit, viele Nerven lagen in den letzten Monaten blank, aber wir sind froh und stolz, dass wir es so geschafft haben und Ihnen in vielen kleinen und größeren Problemen helfen konnten!
Wir gönnen uns eine kleine Auszeit und sind ab 2.1.2025 wieder für Sie da!
Das Bild zeigt den großen Weihnachtsbaum im Wiesbadener Kurhaus 2021

Jetzt kommt die dunklere Jahreszeit und wir versuchen mit Pflanzen und Gestecken die Sommerfarben zu erhalten um es uns in der Wohnung gemütlich zu machen.
Aber Vorsicht:
Viele dieser Pflanzen sind giftig für unsere Haustiere!
Eine Aufzählung mit Bildern einiger Pflanzen, die wir nicht in Erreichbarkeit unserer Vierbeiner und Vögel aufstellen sollten finden Sie hier:
Giftpflanzen in der Weihnachtszeit
Immer wieder wird über die Gefahr von Schokolade beim Hund gewarnt,
ist sie giftig oder ist sie nicht gefährlich?
Wichtig ist:
Die Menge und Art der Schokolade sowie die Größe des Tieres ist ausschlaggebend!
Böller, Knallfrösche und Raketen, die durch die Luft zischen und am Himmel ein buntes Mosaik zaubern – für Menschen sind die Silvesterkracher ein festliches Ereignis, für Tiere bedeuten sie eine unkalkulierbare Bedrohung.
Konfettikanonen und Schreckschusspistolen in der Fastnachtszeit verstärken die negativen Gefühle der Silvesternacht.
Grollt und donnert es dann im Hochsommer, die Panik und Erinnerungen keimen wieder auf.
Für viele von Ihnen und besonders für Ihre Tiere beginnt wieder eine stressbelastete Zeit.
Einige Tipps für eine entspannte Silvesterfeier haben wir für Sie zusammengestellt
Gefahr erkannt – Gefahr gebannt
So überstehen Hund, Katze& Co. Weihnachten und Jahreswechsel gesund
Pressemitteilung der Bundestierärztekammer vom 17.12.2013
BTK Berlin
Weihnachten wünschen wir uns als entspannte und harmonische Zeit – wobei die meisten Menschen über den Einkaufs-, Koch- und sonstigen Stress fast verzweifeln.
Damit es nicht noch Kummer und Sorgen um das Haustier gibt, und der Heilige Abend für Hund, Katze und Co. nicht in der Notaufnahme des Tierarztes endet, hier einige Tipps:
- Krankmachende Leckerbissen
- Verführerische Gefahrenquellen
- Giftige Blütenpracht
- Verstörende Silvesternacht
15.7.24: Wir sind aus dem Urlaub zurück!

Wir sind von unserer Rumänien-Motorradtour mit tollen Erlebnissen und Eindrücken gesund zurück!
Normale Sprechstunde wieder ab Montag, den 15.7.2024 8.30h
Liebe Grüße
Das Praxisteam
Der Bericht der gesamten über 4500 km - Reise durch Österreich, Ungarn, Rumänien, Serbien, Slowenien, Ungarn, Österreich kommt nach und nach und ist jetzt vollständig
Hier finden Sie die ersten Tagesberichte und Bilder:
Rumänien - Die ersten Bilder
und
Rumänien - Meine Eindrücke und Tagesberichte

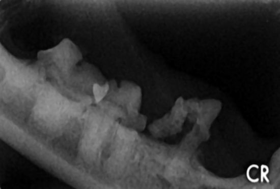
Digitales Dentalröntgen bei Hund, Katze und Heimtier

Viele schmerzhafte Erkrankungen, die nur von undeutlichen Krankheitssymptomen wie Gewichtsverlust, geringere Futteraufnahme, Zurückgezogenheit durch chronische Schmerzen begleitet werden, haben ihren Ursprung in der Maulhöhle.
Beim Heimtier kennen wir die Problematik mit den lebenslang wachsenden Zähnen, kleine Fehlstellungen und Wurzelerkrankungen können hier zur vollständigen Futterverweigerung führen.

Bei Katzen sehen wir manchmal einen entzündeten Zahnfleischsaum, eine Gingivitis, manchmal fällt den Besitzern auch auf, dass ihr Tier nur einseitig kaut oder bei der Futteraufnahme das Futter wieder herausfallen lässt. Dies sind Anzeichen für Schmerzen!
Schaut man ins Katzenmaul wirkt alles auf den ersten Blick normal, doch das ist trügerisch.
65 % der Zahnerkrankungen bei der Katze finden unterhalb des Zahnfleischsaumes an der Zahnwurzel und im Kieferknochen statt, 40 % davon lassen sich nur durch Röntgenaufnahmen finden.
Hier kann nur das dentale Röntgen, so wie wir es von unserem Zahnarzt helfen, die erkrankten Zähne zu identifizieren.
Unsere digitale Dentalröntgeneinheit hilft uns schnell und zuverlässig die erkrankten Zähne zu erkennen und zu therapieren, so können wir die Diagnose durch das Dentalröntgen und die Therapie innerhalb einer einzigen Narkose durchführen........mehr...
Neu ab 18.3.2019:
Kardiologiesprechstunden in unserer Praxis
Wir freuen uns seit 2019 eine Kardiologiesprechstunde für unsere vierbeinigen Herzpatienten in unserer Praxis anbieten zu können.
Als freier Mitarbeiter wird Herr Ricardo Abrantes, MSc (Master of Science), in regelmässigen Abständen mit seinem mobilen kardiologischen Service (www.ra-kardiologie.de) seine Sprechstunde bei uns abhalten.
Als Tierarzt mit der Zusatzbezeichnung Kardiologie und Mitglied des Collegium Cardiologicum, in dem nur 50 Kardiologiespezialisten aus Deutschland gelistet sind, gehören kardiologische Untersuchungen wie Herzultraschall, EKG, Blutdruckmessungen mit Doppler zu seinem Spezialgebiet.
Er besitzt die Zulassungen für Zuchtuntersuchungen und Paw Peds.
Auch kardiologische Untersuchungen an Kleinsäugern sind möglich.
Der Vorteil für unsere Patienten:
- - bekannte Umgebung in der Haustierarztpraxis, wir sind für Sie da!
- - keine weiten Fahrten zum Spezialisten, der Spezialist kommt zu uns!
- - kurze Wartezeiten aufgrund fixer Terminvergaben
- - direkte Auswertung und Besprechung der Ergebnisse mit dem Haustierarzt und dem Tierbesitzer
- - direkte Weiterbehandlung durch den Haustierarzt
- - kein Verlust von wichtigen Befunden, die Daten der Untersuchung können direkt in die Patientendatei eingearbeitet werden
- - der Tierbesitzer ist während der Untersuchung anwesend
- - in der Regel ist kein Scheren der Haare für die Ultraschalluntersuchung nötig
Nächster Kardiologietag:
Dienstag, den 28.10.2025
Interesse? Bitte telefonisch einen Termin vereinbaren!

Bei Ihrem Hund wurde eine Herzerkrankung festgestellt, ein Herzgeräusch beim Abhören, eine schon schwerwiegendere Herzerkrankung oder gar ein Lungenödem mit Herzhusten?
Sie möchten schon frühzeitig die ersten Hinweise einer solchen Krankheit zuhause erkennen können?
Dann ist die Atemfrequenz-Messung das Mittel der Wahl!
Warum?
Bereits bei leichteren Leistungsstörungen seitens des Herzens, kann es nicht mehr genügend Blut durch den Kreislauf pumpen, es folgt eine Stauung vor dem Herzen, in den überwiegenden Fällen in der Lunge.
Durch die Flüssigkeit füllen sich auch die Lungenbläschen, die zum Sauerstoffaustausch der Atemluft benötigt werden. Diesen Sauerstoffmangel versucht der Organismus durch eine höhere Atemfrequenz auszugleichen. Also mehr Atmen um den benötigten Sauerstoff in die Lungen zu bekommen!
Schätzungen zufolge leiden zwischen 50 und 60 Prozent aller Hunde über zehn Jahre an einer Erkrankung der Herzklappen (Endokardiose).
Vor allem kleine bis mittelgroße Hunde sind von dieser Krankheit betroffen. Die Ursachen für die Schädigung der Herzklappen sind noch nicht restlos aufgeklärt. Man nimmt aber an, dass eine genetische Veranlagung eine entscheidende Rolle bei der Entstehung der Krankheit spielt.
Die Endokardiose ist nicht heilbar, aber gerade in den letzten Jahren wurden große Fortschritte bei der Diagnostik und der Therapie von Herzerkrankungen bei Hunden erzielt, sodass je nach Erkrankungsstadium, allgemeinem Gesundheits-zustand und konsequenter Therapie ein vierbeiniger Herzpatient noch einige gute und aktive Jahre vor sich haben kann, bevor die Krankheit in ein letztlich tödliches Endstadium gerät.

Ältere Hunde und Katzen leiden häufig unter Erkrankungen der Nieren und der Harnwege.
Diese Krankheiten haben beim gealterten Vierbeiner unterschiedliche Ursachen.
Sehr häufig lässt sich aber gerade bei der bedeutendsten Erkrankung der Nieren bei Hund und Katze, der chronischen Niereninsuffizienz (CNI), keine zugrundeliegende Erkrankung ermitteln.
Foto: © Carola Schubbel/fotolia.com
Im Verlauf dieser letztlich unheilbaren Krankheit entwickelt sich ein Teufelskreis, der zu einer fortschreitenden Zerstörung des Nierengewebes führt.
Allerdings bereitet bereits die rechtzeitige Erkennung der Krankheit häufig Probleme, weil es erst sehr spät im Verlauf der CNI zu Symptomen kommt.
Regelmäßige Untersuchungen der Blut- und Harnwerte, z. B. im Rahmen eines Seniorenchecks, können die Früherkennung fördern.
mehr zu den Nierenerkrankungen der Senioren...
Jetzt können wir ab 1.12.2015 über Idexx, unserem Fremdlabor, einen weiteren wichtigen Frühmarker der Nierenfunktion, den SDMA-Wert, bei unseren Geriatriechecks ohne Mehrkosten anbieten!
mehr zum SDMA-Test...

Wie in den letzten Jahren beteiligten wir uns auch 2025 wieder an der Aktion des Vereins Tierärzte ohne Grenzen e.V.
Bereits an unseren Aktionstagen in den Jahren 2007 - 2022 spendeten wir die Hälfte der an diesem Tag durch Impfungen erhaltenen Einnahmen für Hilfsprojekte in Afrika. mehr...
Schöne Ostertage!!

Wir bedanken uns für die vertrauensvolle Zusammenarbeit bei unseren vierbeinigen Patienten und ihren Besitzern und wünschen allen ein schönes Osterfest!
Das Bild habe ich als Ausgleich zum Praxisalltag gebastelt, ich hoffe es gefällt Ihnen!
Stechmücken - klein aber gefährlich

Wer kennt sie nicht, diese kleinen summenden Biester, die einem den Schlaf rauben.
Aber nicht nur unsere deutschen Stechmücken sind zu beachten, schlimmere Auswirkungen für uns Menschen und für die Tier haben die Stiche der südeuropäischen, afrikanischen und asiatischen Stechmücken und Sandmücken. Diese sind als Vektoren, also als Überträger von anderen Krankheitserregern beim Stich so gefährlich.
Durch unsere weltweite Klimaerwärmung weitet sich das Gebiet der Überträger immer weiter aus, Experten sprechen von ca 200km pro Jahr gen Norden. Es ist also nur noch eine Frage der Zeit wann diese Mückenarten hier bei uns heimisch sind.
Foto: © nechaevkon- fotolia.com
Urlaub im Süden?
Schützen Sie Ihren Hund bestmöglich vor den gefährlichen Reisekrankheiten!

Herzwürmer oder Leishmaniose, Urlaubsmitbringsel auf die Ihr Hund gut verzichten kann!
Endlich Urlaub – endlich zusammen mit Familie und Hund in den Süden fahren.
Doch Achtung: Hunde können sich dort unter anderem mit dem gefährlichen Herzwurm oder der Leishmaniose infizieren und so schwerwiegende bis tödliche Krankheiten mit nach Hause bringen.
Herzwürmer leben in den Lungenarterien und im Herzen. Überträger der Krankheit sind infizierte Stechmücken, die den Erreger in sich tragen und bei der Blutmahlzeit an den Hund weitergeben.
Leishmanien werden von Sandmücken übertragen, eine Heilung ist ausgeschlossen, es muss eine lebenslange Therapie und Blutkontrolle durchgeführt werden

2022, erste Meldung damals: Blaualgen im Offenbacher Schultheisweiher: Badeverbot!
Aber auch für Hunde sind die Blaualgen gefährlich, lebensgefährlich!
Die Blaualgen vermehren sich momentan bei hohen Temperaturen und Sauerstoffmangel in stehenden Gewässern explosionsartig

Hitzentwicklung im geschlossenen PKW nach A. Grundstein, University of Georgia 2010, Infografik: CC BY 3.0 DE zur freien Verwendung mit Quellenangabe: www.liliput-lounge.de
Was ist zu tun beim Hitzschlag des Hundes? mehr...

Ich betreibe seit 32 Jahren eine Kleintierpraxis in der Wiesbadener Innenstadt, seit 29 Jahren habe ich eine festangestellte Tierarzthelferin, wir sind ein sehr gut eingespieltes Team.
Bereits vor über 20 Jahren haben wir auf eine reine Terminpraxis umgestellt, das Arbeiten ist so besser zu verteilen, die Wartezeiten im Wartezimmer für unsere Patientenbesitzer deutlich reduziert.
Ich fühle mich als Haustierarztpraxis, also Anlaufstelle für alle alltäglichen Probleme und Krankheiten
weiter
30. Praxisjubiläum
Wir haben es erreicht: 2.5.1988 - 2.5.2018

30. Praxisjubiläum
Erfahrung, Therapie, Beratung, Kompetenz, Vertrauen
Ich danke unseren Kunden für ihre Treue!
Ganz besonderer Dank auch meiner Mitarbeiterin Claudia,
der "kleinen Chefin", die seit über 27 Jahren erheblichen Anteil an diesem Erfolg hat.
Wir werden auch weiterhin daran arbeiten, dass der Tierschutz in unseren Wohnzimmern beginnt und nicht erst jenseits unserer Landesgrenzen!
Danke allen, die am Gelingen der Praxis teilhaben!
Dr. Kristine Hucke, am 2.5.2018 mehr...

Foto: © pixelrohkost- fotolia.com
Das Frühjahr kommt -
Zeit für Fitness und Frühjahrskuren!
Entschlacken - Den Organismus von alten Stoffen befreien
Aktivieren - Die Organe wieder aus dem Winterschlaf holen
Den Winter vertreiben!
Träger Darm - eingerostete Gelenke - Fellwechsel - Frühjahrsmüdigkeit
nicht nur die alten Tieren können in dieser Zeit eine Unterstützung gebrauchen!
Dabei gibt es keinen Einheitsplan, sondern jedes Tier profitieren von einem individuellen Plan.
Nach der Frühjahrsuntersuchung Ihres Tieres erstellen wir gemeinsam einen Plan, je nach Bedarf des Tieres
mehr...
Vet-Concept - gutes Futter aus dem Netz!

Vet - Concept ist seit vielen Jahren einer der meist empfohlenen Futtermittel-Partner der Tierärzte.
Dabei vertrauen wir auf die sehr gute Beratung durch die Tierärzte und Ernährungsberater speziell für die individuellen Bedürfnisse von erkrankten oder sensiblen Tieren, aber auch auf die hervorragende Qualität des riesigen Angebots an Snacks und Leckerlis.
Auch hier können wir Ihnen Gutschein-Codes für ein ausgewähltes Begrüßungsgeschenk und Empfehlungen für die Futterberatung zur Verfügung stellen. mehr...
15.12.2017: Neue Verordnung in Wiesbaden -
Freigängerkatzen müssen kastriert und gechipt sein

Ab sofort sind alle Katzenbesitzer in Wiesbaden verpflichtet, ihre freilaufenden Katzen, die älter als 5 Monate sind, kastrieren, kennzeichnen und registrieren zu lassen, sofern diese nicht als reine Wohnungskatzen gehalten werden.
Die Kennzeichnung ist mittels Mikrochip oder Tätowierung möglich.
Die Registrierung kann durch Eintragung in ein Haustierregister erfolgen.
Foto: © Carola Schubbel/fotolia.com
Foto: © Soru Epotok- fotolia.com
Achtung Staupegefahr! 17.3.2017
Erneut wurde bei einem Wildtier im Landkreis Limburg- Weilburg Staupe als Todesursache nachgewiesen.
Diese Viruskrankheit ist hochansteckend für Hunde, Frettchen, Füchse, Dachse, Marder und Waschbären. Nicht für Menschen und Katzen.
Die Übertragung erfolgt nicht nur durch Kontakt sondern auch durch Speichel, Nasensekret, Urin oder Kot der erkrankten Tiere, ist also bei JEDEM Spaziergang möglich! Die Erkrankung verläuft beim Hund sehr oft tödlich!
Bitte kontrollieren Sie den Impfschutz Ihres Hundes bzw Frettchen!
Die Impfungen sollten nach einer Grundimmunisierung (2 x Impfen innerhalb von 3-4 Wochen) mindestens alle 3 Jahre wiederholt werden.
Im Impfpass von Hunden erkennbar durch den Buchstaben „S“ (für Staupe) oder „D“ (für die englische Bezeichnung Distemper) auf dem Impflabel.
mehr über die Infektionskrankheit Staupe...

Bei der Eigenbluttherapie werden dem Patienten zunächst eine kleine Menge Blut entnommen, um es anschließend wieder zu injizieren,
bei der Auto-Sanguis-Stufentherapie wird das Blut vorher noch aufbereitet.
Diese Therapieverfahren werden zur Stärkung und Umstimmung des Immunsystems angewandt, bei vielen chronischen Erkrankungen wie Infektionen oder Entzündungen, bei Arthrosen, Wirbelsäulenerkrankungen, Hauterkrankungen, Allergien, Asthma, Atemwegserkrankungen, chronischen Verdauungsstörungen, insgesamt in der Therapie alter Tiere.
Diese Umstimmungstherapie hat zum Ziel, den Körper zu einem Stimmungs-wechsel anzuregen. Der erkrankte oder gestörte Organismus soll dabei die Chance erhalten, sich neu einzustimmen um die Heilanstöße von außen besser aufzunehmen.
Eine sehr alte Therapieform, die man heute so umschreiben würde:
"Ein Reset der Zellen des erkrankten Organs durchführen"

Liebe Claudia!
Seit einem Vierteljahrhundert bist Du aus der Praxis nicht wegzudenken.
Für Deinen Einsatz und Deine Fachkompetenz als Tierärztliche Fachangestellte danke ich Dir ganz herzlich!
Deine Zuverlässigkeit, Freude und Humor an jedem Tag, Dein Ideenreichtum zur Problemlösung bei vielen Patientenbesitzern erfreuen mich immer wieder!
Auch in stürmischen Zeiten weiss ich immer eine zuverlässige Kollegin an meiner Seite!
„Kleiner Chef“ mach bitte weiter so, auf die nächsten gemeinsamen Jahre!
Kristine

Eine tödlich verlaufende Infektion mit einem Schweine-Herpesvirus.
Besonders gefährdet sind Jagdhunde, Hunde mit Freilauf in Wildschweingebieten, aber auch durch Verfütterung von rohem Schweine- oder Wildschweinfleisch.
Auch Katzen können erkranken, jedoch seltener als Hunde.
Bei Wildschweinen der hessischen Landkreise Bergstraße, Darmstadt-Dieburg, Hersfeld- Rotenburg, Main-Kinzig-Kreis, Odenwaldkreis, Wetteraukreis, Vogelsbergkreis und Fulda treten nach wie vor vereinzelt Fälle auf.
Foto: © Eric Mandre- fotolia.com
In Deutschland wurde in den vergangenen zehn Jahren bei einigen Hunden eine tödlich verlaufende AK-Infektion nachgewiesen, so auch gerade wieder vom Hessischen Landeslabor in Giessen.

Die Seite mit den Hausrezepten beginnt zu wachsen!
Als erstes ist die
Moro'sche Karottensuppe aufgenommen.
Sie hilft bei
bakteriellen Magen-Darm-Infektionen.
wie es geht finden Sie hier....
mehr...
Foto: © larcobasso- fotolia.com

Organotherapie
Phytotherapie
Homotoxikologie
Nach dem 5-jährigem Tiermedizinstudium begleitete mich zunächst die reine Schulmedizin in meinem Berufsleben.
Doch immer häufiger konnte ich in meiner Praxis die Therapie mit der „Alternativen Tiermedizin“ ergänzen und oft auch verkürzen.
Foto: © PhotoSG- fotolia.com
Die Neugierde in dieses komplexe Thema der Regulationsmedizin einzutauchen war geweckt und jetzt, auch nach 30-jähriger Berufsausübung, bin ich immer wieder fasziniert welche Wirkungen dieser Substanzen hervorrufen.
Phytotherapie, Homotoxikologie und Organotherapie sind feste Bestandteile unserer täglichen Arbeit geworden.
Gerade in Bereich der Geriatrie sind sie nicht mehr wegzudenken!

Es gab immer wieder Unstimmigkeiten ob Privatpersonen verletze Wildtiere zum Tierarzt bringen dürfen und ob der Tierarzt diese behandeln darf.
Bisher wurde seitens der Jägerschaft dargelegt, dass nur der Jagdausübungs-berechtigte das alleinige Aneignungsrecht hat, es also verboten wäre verletztem, jagdbaren Wild zu helfen, dies widerspricht aber dem Tierschutzgesetz.
Foto: © Wolfgang Kruck/fotolia.com
Jetzt hat sich das Hessische Ministerium eindeutig dazu geäussert, zu Gunsten der Tiere, es darf geholfen werden!
Dabei ist folgendes zu beachten:
Derjenige, der das verletzte Tier zum Tierarzt bringt, hat zumindest der Polizeistation telefonisch mitzuteilen, wo das verletzte Tier gefunden wurde und wem es zur Versorgung überbracht wird. Dieser Anruf sollte möglichst vor der Aufnahme des Tieres erfolgen und ist vom Auffindenden zu veranlassen, nicht vom Tierarzt!

Vet - Concept ist seit vielen Jahren einer der meist empfohlenen Futtermittel-Partner der Tierärzte. Dabei vertrauen wir auf die sehr gute Beratung durch die Tierärzte und Ernährungsberater speziell für die individuellen Bedürfnisse von erkrankten oder sensiblen Tieren, aber auch auf die hervorragende Qualität des riesigen Angebots an Snacks und Leckerlis.
Auch hier können wir Ihnen Gutschein-Codes für ein ausgewähltes Begrüßungsgeschenk und Empfehlungen für die Futterberatung zur Verfügung stellen. mehr...

Durch eine Zulassungsänderung erzwingt eine Pharmafirma einen 30 - fachen höheren Antibiotikaverbrauch in der Kleintiermedizin!
Der aktuelle Fall:
Das einzige zugelassene Langzeit-Amoxicillin-Präparat der Pharmafirma XYZ (Amoxicillin gibt es seit 1981 auf dem Markt, nebenwirkungsarm, millionenfach benutzt und kein Reserveantibiotika der Humanmedizin) ist auch für Katzen zugelassen.
Handelsware nur in 100ml Flaschen, gut geeignet für die Großtierpraxis, wir Kleintierpraktiker benötigen aber nur ca 0,5ml für eine Katze.
Jetzt zwingt uns die bindende Verbrauchsanweisung die angebrochenen Flaschen täglich zu entsorgen!
Hintergrunde und eine humorvolle, aber bitter ernste Zukunftsbeschreibung eines Kollegen finden Sie hier...

Seit dem 29.12.2014 ist der § 13 Absatz 5 des Tierseuchenschutzverordnung (TierSSchV) aufgehoben.
Dieser Paragraph erleichterte die Einfuhr von privaten Welpen unter 3 Monate und ohne gültiger Tollwut-impfung.
Diese Sonderregelung für Welpen zur Einfuhr ist ab dem 29.12.2014 aufgehoben!
Nun müssen alle Welpen eine gültige Tollwutimpfung vorweisen.
Dies bedeutet Impfung mit einem Mindestalter von 12 Wochen sowie 21 Tage Wartezeit bis zur Gültigkeit

Schon wieder neue Verordnungen?
Was ändert sich?
Die gute Nachricht: Soweit Sie schon einen Hund / Katze / Frettchen mit gültiger Tollwutimpfung, Chip und EU-Pass haben, dann ändert sich für Sie zunächst nichts!
Die EU möchte mit der neuen Verordnung den illegalen Handel mit Welpen eindämmen. Bisher konnten die Pässe teilweise sogar im Internet von jedermann bestellt, beschriftet und benutzt werden. Die Folge waren massenhafte Importe von teilweise todkranken Welpen mit falschen Geburtsdaten, gefälschten Impfungen und nicht nachvollziehbarem Ursprungsland. Ausser dem Leid dieser Tiere, die Produktion weiterer Welpen als Ware "Tier" mit dem immer rasanteren Internethandel waren so auch die Tierbestände in der EU gefährdet, man erinnere nur daran, dass tödliche Infektionskrankheiten wie Tollwut, Staupe und Parvovirose aber auch vektorenbedingte "Reisekrankheiten" weiterhin in Ost- und Südeuropa ein ernstzunehmendes Thema sind!
So dürfen ab 29.12.2014 nur noch die neu entwickelten EU-Pässe für Neuausstellungen benutzt werden. Die EU-Heimtierpässe dürfen von den Herstellern nur noch an berechtigte Tierärzte abgegeben werden, die Passnummern werden sowohl beim Hersteller als auch beim ausstellenden Tierarzt dokumentiert. So soll jeder Pass vom Hersteller bis zum Haustier lückenlos zuzuordnen sein.
Zusammen mit diesen Pässen sind weitere Eintragungen und Unterschriften vom Tierhalter und Tierarzt notwendig, ausserdem müssen die Angaben zum Tier incl der Chip-Nummer sowie die vom Tierarzt eingetragenen Tollwutimpfeinträge laminiert und somit vor nachträglicher Manipulation geschützt werden.
Zusätzlich haben verschiedene Länder wie zum Beispiel Deutschland und die Niederlande die Einfuhrbedingungen für Welpen verschärft, auch diese benötigen jetzt eine gültige Tollwutschutzimpfung ab einem Alter von 12 Wochen plus 21 Tage bis zur Einfuhr.
Welpen unter 15 Wochen dürfen somit nicht mehr nach Deutschland oder in die Niederlande eingeführt werden! Weitere Länder werden gewiss folgen!
mehr zu den Einreisebestimmungen...
mehr zu den Tollwutimpfbestimmungen...
Tierschutzgesetz - Novelle gültig ab 1.8.2014

Pressemitteilung des Bundesministeriums für Ernährung und Landwirtschaft vom 29.07.2014
Bundeslandwirtschaftsminister Christian Schmidt:
"Illegalen Welpenhändlern das Handwerk legen."
Strengere Regeln gelten auch für die gewerbsmäßige Hundeausbildung.
Am 1. August treten in Deutschland neue Regelungen zum Tierschutz in Kraft.
"Nachdem wir mit dem novellierten Tierschutzgesetz im vergangenen Jahr bereits den Schutz von Versuchstieren umfassend verbessert haben, schaffen wir nun auch Verbesserungen für Heimtiere", sagte Bundeslandwirtschaftsminister Christian Schmidt in Berlin.
"Der Schutz von Tieren ist mir ein besonderes persönliches Anliegen.
Jeder, der mit Tieren handelt, arbeitet oder sie zu Hause hält, muss ihnen mit Respekt und Rücksicht auf ihre besonderen Bedürfnisse begegnen", so Schmidt weiter. "Mit den neuen Regelungen haben wir vor allem die Kontrollbehörden besser ausgerüstet, skrupellosen illegalen Welpenhändlern ihr Handwerk zu legen."
Die Regelungen im Einzelnen: mehr...

Altern ist, genau wie beim Menschen, ein normaler Vorgang des Organismus.
Als Folge zeigt sich ein Nachlassen der Leistungs- und Adaptionsfähigkeit des Individuums und somit eine höhere Anfälligkeit für Erkrankungen.
Und genau hier setzen die Vorsorgeuntersuchungen ein,
um den Zustand "alt und gesund" möglichst lange zu erhalten.
Wann ist Ihr Tier als Senior einzustufen?
Welche Symptome können auf Alterserscheinungen hinweisen?
Welche Untersuchungen gibt es?
mehr...

Heute kam unsere Zertifizierungsurkunde!
Wir sind dabei, bei der Initiative des Bundesverbandes praktizierender Tierärzte (bpt) sowie Royal Canin:
Ihre Katze, bei uns in besten Händen mehr...

Die Tierärzte wehren sich dagegen von Herrn Trittin als Drogendealer bezeichnet zu werden!
Der Verbraucher der Geiz-ist-geil-Generation an der Fleischtheke, die Preiskämpfe der Supermarktketten und die Lobby der Tierproduzenten sind Herrn Trittin zu mächtig, da wird lieber auf eine kleine Berufsgruppe eingetreten.
Hier eine Pressemitteilung des Bundesverbandes praktizierender Tierärzte vom 10.9.2013: Tierärzte sind keine Drogendealer!

Ein funktionierendes Magen-Darm-System braucht jedes Tier, um ausreichend Nährstoffe aufzunehmen und den Körper mit lebenswichtigen Bausteinen zu versorgen – kurzum, um langfristig gesund zu bleiben.
Das Verdauungssystem ist hoch komplex. Neben Magen, Dünndarm und Dickdarm zählen auch die beiden großen Anhangsdrüsen, Leber und Bauchspeicheldrüse, zum Verdauungsapparat.
Jedes dieser Organsysteme hat eigene Aufgaben, die einen reibungslosen Ablauf der Nährstoffaufspaltung und -aufnahme gewährleisten. mehr...
Foto:© Michael Pettigrew - Fotolia_com

Millionen von Kaninchen und Nagetieren wie Meerschweinchen oder Chinchillas leben als Heimtiere in Privathaushalten.
Besonders beliebt sind die kleinen Begleiter bei Familien mit Kindern.
Sie benötigen weniger Platz und Zeit als ein Hund und viele denken, sie seien anspruchslos in der Haltung und Pflege.
Doch das ist nur die halbe Wahrheit:mehr...
Foto:© takada hiroto - Fotolia.com
25. Praxisjubiläum - Wir haben es erreicht: 2.5.1988 - 2.5.2013

25. Praxisjubiläum
Erfahrung, Therapie, Beratung, Kompetenz, Vertrauen
Ich danke unseren Kunden für ihre Treue! mehr...

Das Sonderheft befasst sich mit vielen Themen rund um die Diät für Haustiere, Gewichtsabnahme, Krankenkost bei Allergien, Herz-, Nierenerkrankungen, Diabetes als auch Informationen zur Heimtierfütterung. mehr...
Entwurmung von Hunden und Katzen

Der Entwurmungstest von ESCCAP
Je nach Alter, Haltungsform, Ernährung und Nutzung Ihres Tieres ist sein Risiko, sich mit Würmern anzustecken, unterschiedlich hoch.
Ermitteln Sie hier das individuelle Risiko Ihres Tieres und lesen Sie Ihre persönliche Entwurmungsempfehlung.
http://www.esccap.de/entwurmungstest
ESCCAP ist eine Vereinigung von Veterinärparasitologen.
Ziel von ESCCAP ist es, fundierte Informationen zur Verfügung zu stellen, die helfen, Hunde und Katzen - aber auch den Menschen (Zoonosen) - vor einem Befall mit Parasiten und dessen Folgen zu schützen.
siehe auch: http://www.esccap.de/home/

Woran erkenne ich einen unseriösen Züchter?
Werden viele Rassen und gleichzeitig vor allem sogenannte Modehundrassen angeboten, sollten Sie misstrauisch werden.
Hier handelt es sich meist um Hundehändler, die nur kommerzielle Interessen verfolgen.
Sie sollten auch keine Welpen von Wochenmärkten, aus Massenzuchten und über den Internetversandhandel kaufen. mehr...

Urlaubsreisen mit Hund, Katze oder Frettchen geplant?
Dann helfen wir Ihnen bei den Reisebestimmungen der verschiedenen Länder!
Welche Länder gehören zur EU?
Durch welche Länder muss ich reisen?
Ein kurzer Klick und schon sind die Bestimmungen für Sie parat. mehr...

Katzen sind von Natur aus Einzelgänger.
Einige Samtpfoten haben sich den modernen Haltungsbedingungen angepasst und gelernt in der Gruppe zu leben, andere wiederum bestehen vehement auf Einzelhaltung und zeigen dies ihren Besitzern deutlich.
Leben viele Katzen zusammen auf begrenztem Raum, ist es notwendig, den Lebensraum so gut wie möglich aufzuwerten, um den Katzen genügend Ausweichmöglichkeiten zu bieten. mehr...
Foto: © focus finder - Fotolia.com
Die Herkunft und Lebensweise der Katze:
Im Gegensatz zum Hund, der vom Menschen gezielt aus dem Wolf als Haustier herausgezüchtet wurde, schlossen sich Katzen dem Menschen an und lebten mit ihm zusammen, ohne dass der Mensch züchterischen Einfluss nahm.
Diese einzigartige Entwicklung wird als Selbstdomestikation bezeichnet. mehr...
Tierschutz ist für viele Menschen ein wichtiges Anliegen.
Doch schon bei den eigenen Schützlingen zuhause fängt er an:
Ein gesundes, geimpftes Tier schützt auch die Gesundheit der Menschen und Artgenossen in seinem Umfeld.
Tierärzte empfehlen deshalb, dass speziell bei Hunden und Katzen mindestens einmal im Jahr eine Gesundheitskontrolle durchgeführt wird, um Erkrankungen verhindern oder zumindest frühzeitig erkennen und behandeln zu können.
Den Tieren kann dadurch unnötiges Leid erspart werden. mehr...

Das Sonderheft befasst sich mit vielen Themen rund um die Planung, Organisation, die Reise selbst sowie mögliche Krankheiten im Urlaubsgebiet.
Herbstzeit – Virushustenzeit

Foto: © Tatyana Gladskih - fotolia.com
In der Herbstzeit sehen wir auch dieses Jahr wieder viele hustende Hunde.
Ursache des Virushusten – Canine infektiöse respirations disease – CIRD – Tracheobronchitis – früher einfach Zwingerhusten genannt, sind unter anderem verschiedene Viren wie Adenoviren, Parainfluenzaviren, aber auch das Bakterium Bordetella bronchiseptica.
Die Symptome entstehen plötzlich mit trockenem würgendem Husten, oftmals mit dem Versuch Schleim abzuhusten.
Diese Hustenattacken können Minuten andauern und wieder nach einer gewissen Zeit neu einsetzen. Der Besitzer hat zunächst den Verdacht, dass das Tier einen Fremdkörper im Schlund stecken hat und ihn versucht aus zu würgen.
Die Erkrankung ist durch Tröpfcheninfektion hochansteckend unter Hundegruppen wie Hundeschule, Hundepensionen, aber auch die gemeinsame Hundewiese reicht schon aus um sich anzustecken. Bei der überwiegenden Anzahl der Erkrankten klingt der Husten innerhalb einer – zwei Wochen wieder ab, selten aber möglich ist ein komplizierterer Verlauf mit Lungenentzündungen.
Durch eine Impfung geben Bordetella(Bb) bzw Parainfluenza(Pi) als nasale (BbPi) oder orale (Bb) Impfung kann man den Hund vor schweren Verläufen schützen. Die Impfung wird 1 x jährlich durchgeführt. Pi ist auch in der normalen Jahresimpfung des Hundes enthalten.
Ist Ihr Hund geimpft?
Schauen Sie im Impfpass Ihres Hundes nach ob Sie dort einen gültigen Impfaufkleber mit dem Vermerk Bb bzw Pi finden!
Möchten Sie Ihren Hund schützen vereinbaren Sie einen Termin mit uns!